不妊症と鍼灸
不妊症と鍼灸について
そろそろ子どもを・・・と考えはじめてもなかなかうまくいかない・・・でもどうしたら良いのか分からない。病院に行ってみたものの原因が分からない。治療を続けているけど結果が出ない。病院の治療以外できっとできることがあるのでは・・・
今、日本で不妊症で悩むご夫婦は
4組に1組と言われています。
晩婚化や、生殖機能の問題・生活スタイル・環境の変化、不妊治療を続ける中での心理的・金銭的・肉体的なストレスと、治療を続けていく中でいろいろなストレスや不安がでてきます。
ホルモン値が心配になったり卵胞数が気になったり、卵胞の育ち具合、卵子の質、内膜の厚さ、高温期の体温、ホルモン値、移植したあとはじっと過ごしたほうがいいのか、身体をあたためてもいいのか、食事は??運動は??
心配はいつまでも尽きることがありません。妊娠が分かっても流産が心配で、妊娠することが怖くなってしまう方も いらっしゃいます。
不妊症に対して鍼灸治療が効果的なことはまだ一般的ではありませんが、最近は少しずつ知られてくるようになりました。
鍼灸治療の得意分野は
血流改善・自律神経の調整
・抗うつ症状の軽減です。
-
骨盤内血流の改善
婦人科はホルモン医学と言われており、そのホルモンは血液にのって血流で運ばれていきます。鍼灸治療を行うことで骨盤内血流の改善がみられることが分かっています。
-
子宮内膜の厚さ
着床に関係のある子宮内膜の状態で悩んでいる方も多く、薬を服用してもなかなか子宮内膜が厚くならないという方にも鍼灸治療の効果があることが分かっています。
-
抑うつ症状の軽減
緊張したり、心配したりという精神的ストレスは自律神経と関係しており、自律神経のバランスは免疫・着床についても関連が報告されています。そこで心身の緊張や、リラックス効果によって自律神経のバランスを鍼灸治療で改善することで抑うつ症状の軽減がみられ、妊娠率との関連があることも分かっています。
当院では、そんな不安を解消できるよう東洋医学の知識だけでなく、
不妊カウンセリング学会にて勉強を行い、西洋医学の知識も備えております。
子宮内膜形状不良患者に
高度生殖医療と
鍼灸治療を併用した57症例
共同研究:竹内病院トヨタ不妊センター所長
(現 おち夢クリニック名古屋院長)越知 正憲先生
-
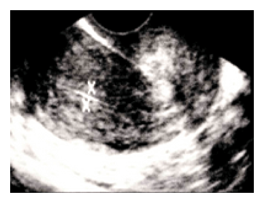
鍼灸治療前3層構造5mm

-
鍼灸治療3ヶ月後1層構造9mm

-
鍼灸治療6ヶ月後3層構造8mm


こちらは移植の際に必須になってくる子宮内膜の厚さを経膣超音波によってみたものです。
症例の患者様は移植周期に、お薬を用いて内膜の調整を行うも、条件(3層構造8mm)に満たず移植ができないという状態が2回以上続く方57名に対して鍼灸治療を併用したところ、子宮内膜の状態が改善したものです。
鍼灸治療を行うことで骨盤内の
血流の改善が認められます!
中リョウ穴刺鍼が不妊症患者の
子宮・卵巣血流に及ぼす影響
共同研究:竹内病院豊田不妊センター
(現 俵IVFクリニック院長)俵 史子先生
明治国際医療大学臨床鍼灸医学(監)
本城 久司先生 北小路 博司先生


左側の数字は血管抵抗値を表しているため、数字が下がるほど、血管の抵抗が低い=血流が良いという結果になります
- 鍼治療を始める前の月経周期3〜7日目に血流測定を行い、鍼治療を初めてから2回目の月経周期3〜7日めに2回目の血流測定を行った結果です。
- 子宮の血流に関係している子宮動脈の血流において9割の方に改善がみられ、子宮内膜と関係している子宮放射状動脈において7割の方の改善がありました!
着床にむけて子宮内膜の環境を整えることも大事ですが、妊娠後は妊娠継続のために
特に初期は子宮血流をよくすることも大事です。
